Грачев Илья Илларионович
Ефремов Михаил Михайлович
- Что значит серонегативный ревматоидный артрит
- Чем отличается серонегативный от серопозитивного ревматоидного артрита
- Стадии серонегативного ревматоидного артрита
- Причины и факторы риска
- Симптомы серонегативного ревматоидного артрита
- Как протекает заболевание: особенности СРРА
- Диагностика серонегативного ревматоидного артрита
- Лечение серонегативного ревматоидного артрита
- Лечение в клинике «Парамита»
- Прогноз для жизни при серонегативном ревматоидном артрите
- Осложнения серонегативного ревматоидного артрита
- Профилактика серонегативного ревматоидного артрита
- Заключение
- Частые вопросы
Боль и скованность по утрам знакомы многим, и нередко сопровождаются тревогой — что происходит с суставами. В практике мы часто видим пациентов, которые получают разные заключения и не знают, как разобраться в диагнозе. В материале объясняем причины воспаления, ключевые симптомы, методы диагностики и подходы к лечению, чтобы помочь вам понять свое состояние.
Что значит серонегативный ревматоидный артрит
Серонегативный ревматоидный артрит — это хроническое воспалительное заболевание суставов, при котором клиническая картина (боль, утренняя скованность, поражение нескольких суставов, типичное распределение) и данные обследований соответствуют ревматоидному артриту, но в анализах крови не выявляются основные аутоантитела — ревматоидный фактор (РФ), антитела к циклическому цитруллинированному пептиду (anti-CCP, ACPA).
В классической ревматологии заболевание относят к форме хронического артрита. По МКБ-10 серонегативный ревматоидный артрит имеет код M06.0.
Такой вариант РА чаще требует более тщательной дифференциальной диагностики: врач исключает подагру, псориатический артрит, спондилоартриты и другие причины воспаления, опираясь на совокупность симптомов, результаты лабораторных тестов и инструментальных методов (УЗИ, МРТ, рентген), а не только на антитела.
Заболевание встречается у взрослых разного возраста. Первые изменения чаще затрагивают кисти, стопы, запястья. Опасность заключается в том, что воспаление распространяется постепенно, а человек привыкает к дискомфорту и обращается позже. Чем раньше врач фиксирует признаки, тем выше шанс сохранить подвижность суставов.
Чем отличается серонегативный от серопозитивного ревматоидного артрита
У этих двух форм общая природа — хроническое воспаление суставов. Разница заключается в иммунологических маркерах, характере клинической картины. Когда в анализах выявляют специфические антитела, диагноз устанавливают быстрее. Если маркеры не определяются, врачу приходится опираться на симптоматику и инструментальные данные.
Таблица отличий ревматоидного артрита серопозитивного и серонегативного.
| Критерий | Серонегативная форма | Серопозитивная форма |
|---|---|---|
| Иммунологические маркеры | Маркеры отсутствуют | Антитела выявляются |
| Скорость постановки диагноза | Требует углубленной диагностики | Быстрее благодаря лабораторным тестам |
| Типичность симптомов | Нередко атипичное начало | Классическая клиническая картина |
| Вероятность ошибочной трактовки | Выше | Ниже |
| Дифференциация с другими артритами | Сложнее, перекликается с подагрой и псориазом | Проще |
Путаница между формами приводит к задержке базисной терапии. Если врач принимает атипичный процесс за другое заболевание, пациент получает не те препараты, ошибочный режим нагрузки, неверный прогноз. Чем дольше затягивается уточнение диагноза, тем выше риск устойчивых изменений в суставе.
Стадии серонегативного ревматоидного артрита
Состояние развивается поступательно. Каждая стадия отражает глубину воспаления и степень изменения суставных тканей, сроки усредненные:
- Начальная стадия. Воспаление затрагивает синовиальную оболочку. Боль умеренная, скованность появляется после отдыха. Рентген чаще без изменений.
- Развернутая стадия. Появляется отек, ухудшается подвижность, на снимках видна узурация краев суставной поверхности.
- Прогрессирующая стадия. Сустав деформируется, движения ограничиваются, человеку сложнее выполнять бытовые задачи.
- Поздняя стадия. Формируются стойкие изменения. Подвижность резко снижена. Требуется длительная терапия, реабилитация.
При раннем начале базисной терапии прогрессирование можно существенно замедлить, а у части пациентов – остановить развитие эрозий и деформаций.
Причины и факторы риска
Хроническое воспаление суставов формируется под влиянием нескольких механизмов. Врач оценивает их совокупно, так как каждый из них влияет на скорость поражения тканей. В практике встречаются ситуации, когда человек не замечает ранних сигналов, а признаки списывает на усталость. Такое течение характерно для серонегативного РА, при котором иммунологические маркеры не помогают определить начало процесса.
Основные факторы:
- Генетическая предрасположенность. У родственников первой линии риск выше.
- Стрессовые нагрузки. Длительное эмоциональное напряжение влияет на работу иммунной системы, усиливает воспаление.
- Инфекции. Перенесенные заболевания могут запускать аутоиммунный механизм, нарушать питание суставных структур.
- Курение. Ускоряет разрушение хряща, влияет на устойчивость к терапии.
- Гормональный дисбаланс. Наиболее заметен в периоды изменений: после родов, в пременопаузе.
- Поражение желудочно-кишечного тракта. Нарушение микробиоты создает условия для иммунных сбоев.
- Повышенная нагрузка на сустав. Повторяющиеся движения, тяжелый труд ускоряют воспаление.
Каждый фактор по отдельности не формирует заболевание, но их сочетание увеличивает вероятность его развития. Осведомленность помогает пациенту отслеживать изменения и вовремя обращаться к врачу.
| Первичная диагностика | |
|---|---|
| Первичный прием в клинике | Бесплатно |
| Онлайн-консультация по телефону | 3500 руб. |
| Онлайн-консультация по Zoom | 3500 руб. |
Симптомы серонегативного ревматоидного артрита
Картина заболевания развивается постепенно. Вначале признаки едва заметны, позже — становятся устойчивыми, нарушая обычный ритм жизни. Отслеживание динамики помогает понять, что воспалительный процесс закрепился, даже если лабораторные маркеры остаются отрицательными.
Ранние симптомы
Начальные проявления часто выглядят несерьезно, из-за чего человек откладывает визит к врачу. К ним относятся:
- Утренняя скованность продолжительностью более получаса.
- Непостоянная боль в мелких суставах кистей, стоп.
- Легкий отек после нагрузки.
- Чувство «натянутости» суставов после отдыха.
На этом этапе воспаление только формируется, и его трудно отличить от усталости или последствий бытовых нагрузок.
Прогрессирующие симптомы
По мере развития процесса признаки становятся выраженными и устойчивыми:
- Стойкий отек, болезненность при движении.
- Ограничение подвижности, снижение амплитуды движений.
- Боль в покое, включая ночные часы.
- Симметричное поражение суставов.
- Усиление утомляемости, нарушения сна.
Эта стадия отражает нарастающее воспаление, которое начинает разрушать суставные структуры.
Атипичные симптомы
У части пациентов проявления выходят за пределы классической картины:
- Воспаление сухожилий, околосуставных тканей.
- Дискомфорт в шейном отделе, затруднение глотания при вовлечении мягких тканей.
- Чередование «тихих» периодов и резких вспышек боли.
- Поражение крупных суставов на старте без выраженной симптоматики в мелких.
Такие варианты маскируются под подагру, псориатический процесс или дегенеративные изменения. Поэтому врачу важно видеть не эпизод, а общий рисунок заболевания.
Как протекает заболевание: особенности СРРА
Течение зависит от генетики, уровня нагрузки, сопутствующих заболеваний, своевременности начала лечения. Воспаление идет волнообразно: периоды относительного спокойствия сменяются эпизодами обострения. Такие колебания нередко приводят к тому, что человек долго не связывает симптомы между собой.
Для серонегативной формы ревматоидного артрита характерны несколько особенностей:
- Менее типичное начало. На старте симптомы напоминают усталость, последствия травмы или дегенеративные изменения.
- Быстрые колебания интенсивности боли. Суставы могут беспокоить вечером, но утром ощущаться легче, что вводит пациента в заблуждение.
- Маскировка под другие артриты. Картина похожа на подагру, псориатическое поражение или спондилоартрит, особенно при отсутствии выраженной симметрии в начале.
- Агрессивное течение у части пациентов. Несмотря на «мягкое» начало, процесс способен быстро перейти к выраженным изменениям.
Боль обычно ощущается как глубокая, давящая. При физической нагрузке она усиливается, а в покое иногда становится резче. Пациенты описывают чувство «скованного механизма», когда сустав требует времени, чтобы «войти в ритм». Такой тип болевого синдрома говорит о воспалительном характере процесса.
Когда нужно срочно обратиться к врачу
Есть ситуации, при которых промедление усиливает воспаление, повышая риск стойких изменений. Даже если заболевание протекает волнообразно, резкое ухудшение означает обострение серонегативного ревматоидного артрита, требующее пересмотра терапии.
Обращение к специалисту необходимо, если:
- Боль резко усилилась, особенно если она сохраняется в покое.
- Появился выраженный отек, который не уменьшается в течение суток.
- Скованность длится больше часа, и привычное «расхаживание» не помогает.
- Сустав покраснел или стал горячим, что указывает на активное воспаление.
- Боль стала симметричной, хотя ранее поражение было односторонним.
- Появились слабость, повышение температуры, ухудшение самочувствия.
- Ограничение движения мешает бытовым действиям, даже простым.
Врач оценивает динамику, сопоставляет клинические признаки и инструментальные результаты, чтобы определить степень активности воспаления.
Диагностика серонегативного ревматоидного артрита
Серонегативный артрит маскируется под другие воспалительные заболевания суставов, из-за чего требует расширенного обследования. Точная диагностика помогает избежать ошибок, подобрать правильное лечение на ранних этапах.
Лабораторная диагностика
Для уточнения диагноза и исключения других причин воспаления суставов врач назначает комплекс лабораторных исследований. При серонегативном варианте маркеры аутоиммунной активности могут отсутствовать, поэтому важна расширенная диагностика.
Какие анализы для диагностики сдают при подозрении на серонегативный ревматоидный артрит:
- Общий анализ крови. Помогает выявить анемию хронического воспаления, изменения лейкоцитов и тромбоцитов, что отражает активность процесса.
- СОЭ, С-реактивный белок (СРБ). Показывают степень воспаления. Повышенные значения говорят о текущем обострении или активной стадии заболевания.
- Биохимический анализ крови. Оценивает работу печени и почек, уровень белков и ферментов. Нужен перед назначением базисной терапии.
- Ревматоидный фактор, anti-CCP. Используются для исключения серопозитивной формы. При серонегативном варианте показатели обычно в норме.
- Уровень мочевой кислоты. Помогает отличить воспаление при СРРА от подагры, особенно при поражении суставов стоп.
- Антитела к другим аутоиммунным заболеваниям. По показаниям определяют ANA, HLA-B27 и специфические маркеры псориатического процесса для дифференциальной диагностики.
- Анализы на инфекции. Назначаются при подозрении на реактивный артрит для исключения инфекционной природы воспаления.
Комплексное лабораторное обследование сопоставляют с клиническими проявлениями и инструментальными данными. Это позволяет точно установить диагноз, выбрать оптимальный формат лечения.
Инструментальная диагностика
Методы визуализации позволяют увидеть то, что невозможно определить по анализам:
- УЗИ суставов. Показывает утолщение синовии, отек, воспаление сухожилий.
- МРТ. Выявляет ранние эрозии, скрытый воспалительный процесс.
- Рентген. Фиксирует структурные изменения на поздних этапах.
- Допплерография. Позволяет оценить приток крови в воспаленные ткани.
Инструментальная диагностика особенно важна на ранних стадиях, когда пациент жалуется на боль, но внешних признаков поражения еще мало.
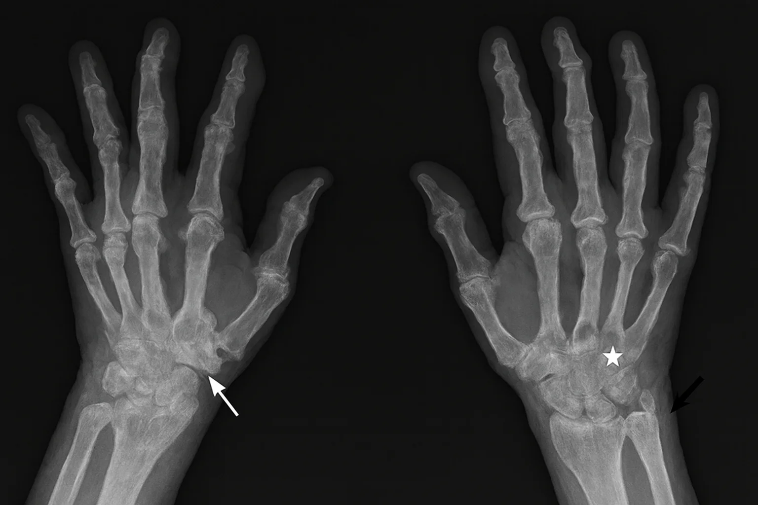
Рентгенограмма обеих кистей при серонегативном ревматоидном артрите. На снимке видны сужение суставных щелей, эрозивные изменения в области запястья, участки остеолизиса и деформация межфаланговых суставов, характерные для хронического воспалительного процесса.
Клиническая оценка
Врач анализирует количество пораженных суставов, длительность скованности, характер боли, изменения чувствительности. Важна наблюдаемая динамика: появление симметрии, расширение зоны поражения, усиление отека.
Дифференциальная диагностика
Она обязательна. Необходимо исключить подагру, псориатический процесс, спондилоартрит, инфекционное воспаление, а также изменения при деформирующем остеоартрозе.
Отличие от псориатического артрита:
- Часто поражаются дистальные межфаланговые суставы.
- Возможны изменения кожи и ногтей.
- Поражение нередко асимметричное.
- Отек бывает «сосискообразным» за счет воспаления всего пальца.
При СРРА чаще страдают проксимальные суставы кистей и запястья, а кожа остается без характерных изменений.
Отличие от спондилоартрита:
- Поражается позвоночник, крестцово-подвздошные суставы.
- Утреннюю скованность ощущают в спине, а не в кистях.
- Часто выявляют генетический маркер HLA-B27.
СРРА редко начинается с позвоночника, чаще — с мелких суставов конечностей.
Отличие от подагры:
- Воспаление возникает остро, боль выраженная, приступ развивается быстро.
- Часто поражается первый плюснефаланговый сустав стопы.
- В анализах повышена мочевая кислота.
При СРРА боль развивается постепенно, а симметрия поражения более типична.
Неправильная трактовка приводит к неверной терапии. Например, при подагре требуются препараты для снижения мочевой кислоты, при псориатическом процессе — иные иммунологические схемы, при спондилоартрите — методы, ориентированные на позвоночник. Если же пациент получает лечение, не соответствующее истинному диагнозу, воспаление сохраняется, а суставы продолжают разрушаться.
Классификационные критерии ACR/EULAR 2010
Классификационные критерии ACR/EULAR 2010 помогают врачу определить, относится ли воспалительный процесс к ревматоидному артриту, включая его серонегативный вариант.
Они основаны на сумме признаков, которые оцениваются по балльной системе. Общий результат 6 баллов и выше подтверждает диагноз.
Критерии оценки:
Поражение суставов. Оценивается количество и тип суставов, вовлеченных в воспаление.
- 1 крупный сустав — 0 баллов
- 2–10 крупных суставов — 1 балл
- 1–3 мелких сустава — 2 балла
- 4–10 мелких суставов — 3 балла
- Более 10 суставов, включая мелкие — 5 баллов
Серологические показатели. Включает наличие ревматоидного фактора и anti-CCP.
- Оба показателя в норме — 0 баллов (типично для серонегативной формы)
- Низкие титры антител — 2 балла
- Высокие титры антител — 3 балла
Маркеры острой фазы воспаления. СОЭ и С-реактивный белок.
- В норме — 0 баллов
- Повышены — 1 балл
Длительность симптомов.
- Менее 6 недель — 0 баллов
- 6 недель и более — 1 балл
Критерии обеспечивают единый подход к диагностике, помогают отличать ревматоидный артрит от других воспалительных заболеваний суставов и позволяют поставить диагноз даже при отсутствии специфических антител, что особенно важно при серонегативной форме.
Лечение серонегативного ревматоидного артрита
Терапия требует комплексного подхода. Врач учитывает активность воспаления, стадию, сопутствующие заболевания, реакцию на предыдущие схемы.
Основная цель — снизить боль, контролировать воспаление, сохранить подвижность, предотвратить структурные изменения. В некоторых случаях лечение корректируется при смене фазы течения из-за нестабильности симптомов.
Медикаментозное лечение
Терапия направлена на подавление воспаления, снижение боли, предотвращение разрушения суставов, удержание ремиссии. Подбор схемы выполняет врач с учетом стадии, активности процесса, сопутствующих болезней, реакции на предыдущие курсы лечения.
Лекарственные препараты при серонегативном ревматоидном артрите:
- Базисные противоревматические препараты (БПВП). Влияют на иммунные механизмы воспаления, замедляяя разрушение суставов. К ним относятся метотрексат, сульфасалазин, лефлуномид, гидроксихлорохин. Используются длительно и являются основой терапии.
- Биологические препараты. Воздействуют на отдельные звенья иммунитета — TNF-α, IL-6, В-клетки или JAK-сигналы. Применяются при недостаточном эффекте базисных средств или агрессивном течении.
- Глюкокортикоиды. Назначаются короткими курсами при вспышках воспаления. Быстро уменьшают боль, отек, выраженность обострения.
- НПВП (нестероидные противовоспалительные препараты). Используются для снижения боли и дискомфорта. Помогают в период активности воспаления, но не влияют на прогрессирование болезни.
- Препараты для защиты желудка и печени. Включаются в схему при длительном приеме НПВП или базисных средств, чтобы снизить нагрузку на желудочно-кишечный тракт и печень.
- Локальные инъекции кортикостероидов. Применяются при выраженном воспалении в одном суставе. Позволяют быстро уменьшить отек, облегчить движение.
Медикаментозное лечение комбинируют с физиотерапией, методами восточной медицины, корректировкой нагрузки и диетой. Такой подход помогает удерживать заболевание под контролем.
Мази при ревматоидном серонегативном артрите (гели с диклофенаком, кетопрофеном и др.) могут дополнительно уменьшать боль, но не влияют на прогрессирование болезни, подбираются врачом с учетом сопутствующих заболеваний.
Немедикаментозное лечение
Помогает снизить нагрузку на суставы и поддерживать стабильное состояние между вспышками воспаления. Он не заменяет медикаменты, но заметно усиливает их эффект.
- Коррекция режима движений. Чередование активности и короткого отдыха позволяет избежать перегрузки. Длительные статические позиции ухудшают кровоток, поэтому их желательно сокращать.
- Работа над мышечным корсетом. Укрепление мышц вокруг пораженных суставов снижает давление на хрящ. Особенно полезны упражнения низкой интенсивности: плавание, ходьба, йога.
- Эргономика труда. Правильное положение кистей, подбор инструментов с мягкими ручками, распределение веса — меры, уменьшающие микротравматизацию.
- Тепловые, холодовые воздействия. Тепло снижает скованность, холод уменьшает отек в период активного воспаления.
Эти меры формируют базу длительной поддержки, позволяющую пациенту сохранять привычный ритм жизни.
Физиотерапия
Физиотерапевтические процедуры применяют в фазу низкой активности воспаления, когда суставы нуждаются в восстановлении.
- Ультразвуковая терапия. Улучшает обмен веществ, уменьшает отек.
- Магнитотерапия. Воздействует на микроциркуляцию, способствует снижению боли.
- Электростимуляция. Восстанавливает тонус мышц, улучшает питание тканей.
- Локальное прогревание. Назначается при отсутствии активного воспаления, помогает расслабить мышцы, увеличить подвижность.
Выбор процедур зависит от стадии процесса и переносимости, а курс подбирает врач.
Диета и режим
Образ жизни влияют на воспалительный фон, поэтому коррекция питания при серонегативном ревматоидном артрите становится частью комплексного лечения. Рацион помогает поддерживать стабильный обмен веществ, снижать нагрузку на суставы, уменьшать частоту обострений.
Основные рекомендации в рамках диеты при серонегативном ревматоидном артрите:
- уменьшение насыщенных жиров, которые усиливают воспалительный ответ;
- включение в рацион рыбы, льняного семени, орехов — источников омега-3;
- достаточное количество овощей, зелени, цельных продуктов для поддержки микробиоты;
- отказ от избытка сахара, ультраобработанных продуктов;
- питьевой режим с учетом уровня нагрузки и климата.
Контроль веса помогает снизить давление на суставы нижних конечностей, а стабильный режим сна улучшает общее состояние. Умеренная физическая активность — ходьба, плавание, мягкая гимнастика — поддерживает мышцы, уменьшая риск обострений.
Такие изменения создают основу для длительной ремиссии, усиливают эффект медикаментов и методов восточной медицины.
Народные средства
Они могут дополнять основное лечение, но не заменяют его.
- Травяные настои. Мягко поддерживают общее состояние.
- Компрессы. Теплые — в ремиссии, охлаждающие — при воспалении.
- Растирания. Уменьшают мышечное напряжение вокруг сустава.
Любые дополнительные методы стоит согласовывать с врачом, чтобы избежать несовместимости с медикаментозной терапией и не спровоцировать ухудшение.
Хирургическое лечение
Хирургия применяется, когда разрушение сустава приводит к стойкому нарушению функции. К методам относят:
- Синовэктомия. Удаление воспаленной синовии, уменьшающее боль и отек.
- Артродез. Фиксация сустава в функциональном положении при выраженной нестабильности.
- Эндопротезирование. Заменяют разрушенный сустав на искусственный, что позволяет вернуть подвижность.
Решение принимается после оценки всех консервативных вариантов и стадии поражения.
Лечение в клинике «Парамита»
В работе с пациентами с хроническим воспалением суставов в «Парамите» используется интегративный подход. Врач оценивает состояние по стандартам ревматологии и через призму традиционной китайской медицины.
Первичный приём и диагностика
На первой консультации собирается подробный анамнез: длительность скованности, характер боли, семейная история, реакция на прошлые схемы лечения. Врач оценивает признаки серонегативного ревматоидного артрита, сопоставляет их с результатами обследований, описывается стадия процесса.
Параллельно проводится диагностика по ТКМ:
- анализ конституционального типа;
- оценка языка, пульса;
- выявление признаков «сырости», «застоя крови», дисбаланса Ян и Инь.
Далее составляется план дообследования: лабораторные тесты, УЗИ суставов, МРТ, консультации смежных специалистов при необходимости.
Составление индивидуальной схемы лечения
После завершения диагностики пациент получает письменный план. В него входят:
- базисная медикаментозная терапия с учетом активности процесса;
- программы и курсы методов восточной медицины;
- рекомендации по режиму нагрузки, питанию, контролю массы тела.
Отдельно обсуждается формат наблюдения: частота осмотров, контрольные анализы, сроки пересмотра схемы.
Использование методов восточной медицины
Восточная медицина рассматривает заболевание как нарушение движения энергии и крови в каналах, а также застой в тканях, питающих сустав.
В «Парамите» подходы направлены на восстановление баланса, улучшение функций организма:
- Иглотерапия. Воздействует на точки меридианов, улучшает микроциркуляцию, уменьшает боль, снижает мышечное напряжение. Эффект особенно заметен в период ремиссии и в стадии снижения активности воспаления.
- PRP-терапия. В зону воспаления или повреждения вводят обогащенную тромбоцитами плазму пациента, чтобы активировать естественное восстановление тканей, снизить боль.
- Моксатерапия. Применяется при «холодном» характере боли. Прогревание усиливает приток энергии Ян, снижает скованность, улучшает кровоток.
- Гирудотерапия. Улучшает венозный и лимфатический отток, снижает отек, уменьшает воспалительный ответ за счет ферментов слюны пиявки.
- Фармакопунктура. Введение малых доз лекарственных веществ или фитопрепаратов в точки акупунктуры позволяет воздействовать на воспаление локально.
- Фитотерапия. Используются индивидуальные сборы, направленные на укрепление селезенки, нормализацию обмена, выведение «сырости» — концепции, которой в ТКМ объясняют хроническое воспаление.
- Мануальная терапия. Влияет на мышцы и фасции, уменьшает спазм, улучшает амплитуду движений, снижает нагрузку на суставы.
- Остеопатия. Мягкая коррекция ограничений в тканях и суставах, улучшает механическую подвижность и кровоснабжение.
- Вакуум-терапия. Усиливает приток крови к регионам хронического воспаления, ускоряет восстановление тканей, уменьшает чувство «стянутого» сустава.
Эти методы доказали клиническую пользу при хронических воспалительных заболеваниях суставов. В сочетании с медикаментозной терапией они помогают уменьшить выраженность боли, расширить подвижность, снизить частоту обострений, поддерживать длительную ремиссию.
Прогноз для жизни при серонегативном ревматоидном ревматоидном артрите
Прогноз зависит от раннего начала терапии, регулярности наблюдения, качества контроля воспаления. Когда пациент понимает закономерности течения болезни и следует схемам лечения, суставы дольше сохраняют подвижность, а воспаление остается управляемым. Современные препараты и комплексные методы позволяют поддерживать ремиссию годами.
Наблюдение показывает: при стабильной терапии боль снижается, скованность уменьшается, эпизоды воспаления становятся короче. Методы восточной медицины усиливают действие базовых препаратов, помогают уменьшить мышечный спазм, улучшить кровоток, что положительно влияет на длительность ремиссии.
Большинство пациентов сохраняют способность к работе, продолжают привычную активность и контролируют болевой синдром. При необходимости создается поддерживающий план: корректировка нагрузки, регулярные курсы акупунктуры, фитотерапии, работа с микробиотой и весом.
Если воспаление активно длительное время, риск структурных изменений выше. В таких случаях прогноз зависит от стадии процесса и реакции на лечение. Однако даже на более поздних этапах грамотная комбинация медикаментозной терапии, реабилитации, остеопатии, мануальной терапии и коррекции образа жизни помогает снизить боль и улучшить функцию.
Современный подход позволяет пациенту жить полноценно, удерживать стабильное состояние и избегать осложнений, которые ранее считались неизбежными.
Осложнения серонегативного ревматоидного артрита
Хроническое воспаление постепенно меняет структуру суставов и работу мягких тканей вокруг них. Если заболевание длительное время остается активным, формируются устойчивые нарушения, которые требуют более сложного лечения. Осложнения развиваются не у всех, но понимание возможных вариантов помогает вовремя реагировать на изменения.
Суставные осложнения:
- Эрозии, разрушение хряща. Постоянное воспаление истончает суставные поверхности, уменьшая подвижность.
- Деформации. Изменение оси пальцев, отклонение кисти, нарушение механики шага.
- Анкилоз. Сустав утрачивает подвижность из-за сращения тканей.
- Хроническая нестабильность. Связки теряют прочность, движения становятся болезненными и неточными.
Такие изменения формируются постепенно, особенно если воспаление сохраняется годами или лечение было нерегулярным.
Внесуставные осложнения:
- Тендовагиниты, бурситы. Воспаляются сухожилия и сумки, что усиливает боль даже при небольших движениях.
- Мышечная атрофия. Ограничение активности приводит к ослаблению мышц, повышая нагрузку на сустав.
- Поражение шейного отдела. Воспаление вызывает дискомфорт, ограничивает движения, усиливает головные боли.
В редких случаях при ревматоидном серонегативном артрите встречается нарушение при глотании, что требует обращения к врачу и исключения других причин.
Системные последствия:
- Повышенная утомляемость. Организм тратит ресурсы на поддержание иммунной активности.
- Нарушения сна. Боль ночью снижает качество отдыха, увеличивает слабость.
- Колебания массы тела. Воспаление и снижение активности влияют на обмен веществ.
Системные осложнения нередко уменьшаются при грамотном лечении, включающем медикаменты, восточные методы и коррекцию образа жизни.
| Первичная диагностика | |
|---|---|
| Первичный прием в клинике | Бесплатно |
| Онлайн-консультация по телефону | 3500 руб. |
| Онлайн-консультация по Zoom | 3500 руб. |
Инвалидность при серонегативном ревматоидном артрите
Инвалидность рассматривают, когда заболевание приводит к стойкому снижению подвижности, нарушает способность к самообслуживанию или мешает профессиональной деятельности. Решение принимается на основе медицинских документов, отображающих динамику воспаления, результаты обследований и эффективность терапии.
Когда возникает необходимость оформления инвалидности:
- Суставы теряют подвижность, движения ограничены даже в быту.
- Возникают выраженные деформации пальцев, коленей, стоп.
- Боль сохраняется несмотря на регулярное лечение.
- Снижается возможность работать руками или долго находиться на ногах.
- Формируется нестабильность суставов, приводящая к риску травм.
При таких изменениях врач направляет пациента на медико-социальную экспертизу (МСЭ).
Какие документы необходимы:
- выписки из амбулаторной карты;
- результаты МРТ, УЗИ, рентгена;
- данные лабораторных исследований;
- описание проведенного лечения и реакции на него;
- характеристика условий труда, если они влияют на течение болезни.
МСЭ оценивает не только наличие диагноза, но и функциональные ограничения. Наиболее значимыми считаются: длительная скованность, невозможность выполнять бытовые действия, снижение устойчивости, выраженная боль при движении.
Группы инвалидности:
- Третья группа. Выраженные, но компенсируемые нарушения. Пациент может работать с ограничениями.
- Вторая группа. Устойчивые деформации, ограниченная самообслуживание, высокий болевой синдром.
- Первая группа при СРРА встречается редко и назначается при тяжелом поражении крупных суставов и значительной утрате самостоятельности.
Корректное ведение болезни снижает вероятность инвалидизации. Раннее начало терапии, регулярный контроль, комплекс восточных и медицинских методов помогают удерживать подвижность, уменьшать боль, сохранять привычный уровень физических возможностей.
Профилактика серонегативного ревматоидного артрита
Полностью предотвратить РА невозможно, но можно снизить воспалительный фон и влияние факторов, которые усиливают риск развития, а также обострения заболевания.
Основные методы для профилактики:
- Отказ от курения. Курение — главный модифицируемый фактор риска РА: усиливает аутоиммунное воспаление, ускоряет разрушение суставов, снижает эффективность терапии.
- Контроль массы тела. Избыточный вес увеличивает нагрузку на суставы, поддерживает воспаление. Нормализация веса уменьшает боль, улучшает подвижность, снижает риск метаболических осложнений.
- Поддержка микробиоты, здоровья ЖКТ. Сбалансированная микробиота снижает активность иммунной системы. Помогают клетчатка, ферментированные продукты, уменьшение сахара и ультраобработанных продуктов, своевременное лечение заболеваний ЖКТ.
- Регулярная умеренная физическая активность. Поддерживает мышцы, улучшает кровоток, снижает воспаление. Подходят ходьба, плавание, йога, лечебная гимнастика. Избегать длительных статических поз и резких перегрузок.
- Рациональная нагрузка на суставы. Правильная эргономика труда, короткие перерывы, ортопедические стельки при нарушении биомеханики, укрепление мышечного корсета помогают снизить нагрузку, предотвратить микротравмы.
- Управление стрессом, режимом сна. Хронический стресс усиливает воспалительный ответ. Регулярный сон, дыхательные техники, расслабляющие практики, снижение эмоциональной нагрузки помогают стабилизировать состояние.
- Медицинское наблюдение. Регулярные осмотры, контроль анализов, УЗИ или МРТ по показаниям позволяют вовремя скорректировать терапию. Важно соблюдать схемы лечения и не прерывать базисную терапию самостоятельно.
- Вакцинация по рекомендациям врача. Перед иммуносупрессией и на ее фоне важны прививки от гриппа, пневмококка, гепатита B. Это снижает риск инфекций, которые могут провоцировать обострения РА.
Этот комплекс позволяет удерживать заболевание под контролем, уменьшать количество обострений, сохранять функциональность суставов.
Заключение
Серонегативный ревматоидный артрит требует ранней диагностики и комплексного подхода. При регулярном наблюдении воспаление удается контролировать, а подвижность сохранять. В «Парамите» сочетают методы современной медицины и ТКМ, помогая снижать боль, уменьшать обострения, поддерживать стабильное состояние пациентов.
Частые вопросы
Серопозитивный ревматоидный артрит представляет собой хроническое заболевание, успешное управление которым основывается на трех ключевых принципах: ранней диагностике, комплексной терапии и постоянном мониторинге эффективности лечения. Обязательным также является осознанное партнерство между врачом и пациентом, строгое выполнение назначений и коррекция образа жизни. Начать лечение можно с консультации врача в московской клинике «Парамита».
Литература:
- Насонова В.А., Лапшина С.А. Серонегативные варианты артритов: клиника, диагностика, лечение // Научно-практическая ревматология. 2019. № 57(3). С. 245–252.
- Белов Б.С., Бадокин В.В. Ревматоидный артрит: современные представления о патогенезе и терапии // Клиническая медицина. 2020. № 98(6). С. 456–464.
- Мачинская М.Г., Федорова Н.Е. Традиционная китайская медицина при заболеваниях опорно-двигательного аппарата // Вестник восстановительной медицины. 2018. № 4. С. 52–58.
- Вогралик В.Г., Вязьменский Э.С. Очерки китайской народной медицины. — М.: Медгиз, 1961.
- Firestein G., Budd R. Rheumatology. Elsevier, 2021.
- Smolen J., Aletaha D. Rheumatoid Arthritis: Pathogenesis and Management. Lancet, 2016.






